Unsere Schwerpunkte

Interventionelle Versorgung bei koronarer Herzerkrankung (PTCA / Stent)

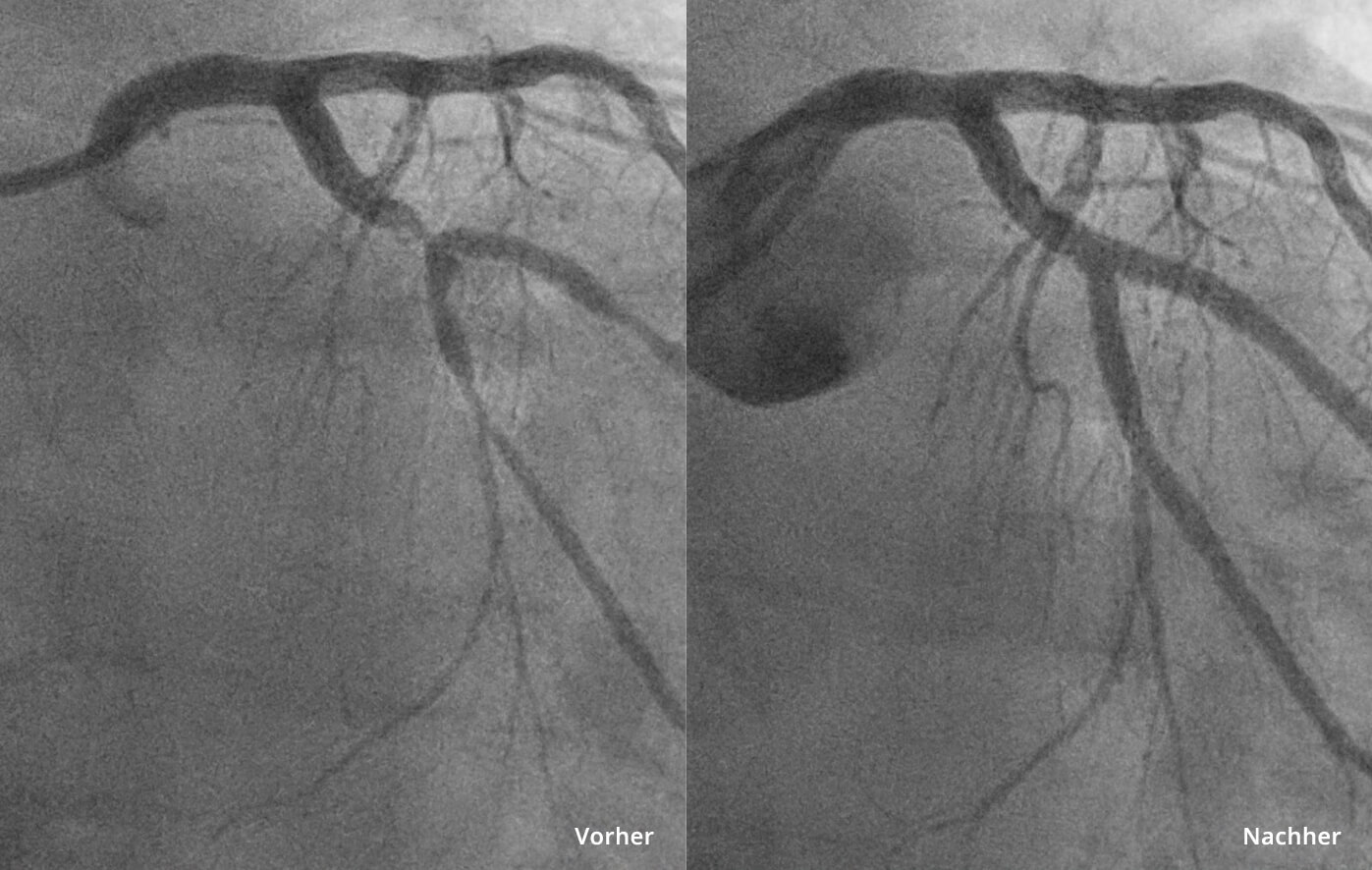
Die koronare Herzerkrankung (KHK) ist die häufigste Ursache für Herzinfarkte. Dabei verengen sich die Herzkranzgefäße durch Ablagerungen (Plaques) aus Cholesterin und Kalk. Die Folge: Das Herz erhält nicht mehr ausreichend Sauerstoff, was zu Brustschmerzen (Angina Pectoris), Luftnot oder im schlimmsten Fall zu einem Herzinfarkt führen kann.

Die besonders wirkungsvolle und gleichzeitig schonende Therapie ist die perkutane Koronarintervention (PCI), auch PTCA genannt. Hierbei wird über einen kleinen Zugang – zumeist über die Handgelenksarterie – ein feiner Katheter zu den betroffenen Gefäßen vorgebracht. Über diesen werden die Herzkranzgefäße mit Hilfe von Kontrastmittel unter Röntgendurchleuchtung dargestellt. An der Engstelle wird ein kleiner Ballon aufgeblasen, der das Gefäß aufdehnt (Ballondilatation). Um sicher zustellen, dass das Gefäß offen bleibt, wird im Anschluss ein Stent (Gefäßstütze) implantiert – eine hauchdünnes Metallgeflecht, die sich dauerhaft in der Arterie verankert und den ungehinderten Blutstrom wiederherstellt.Der Eingriff erfolgt unter örtlicher Betäubung, in manchen Fällen ambulant oder mit kurzem stationärem Aufenthalt (eine Nacht). Wir begleiten Sie während des gesamten Prozesses – von der genauen Diagnostik über die Katheterintervention bis hin zur Nachsorge.