Kardiologische Leistungen

Elektrophysiologische
Untersuchung (EPU)

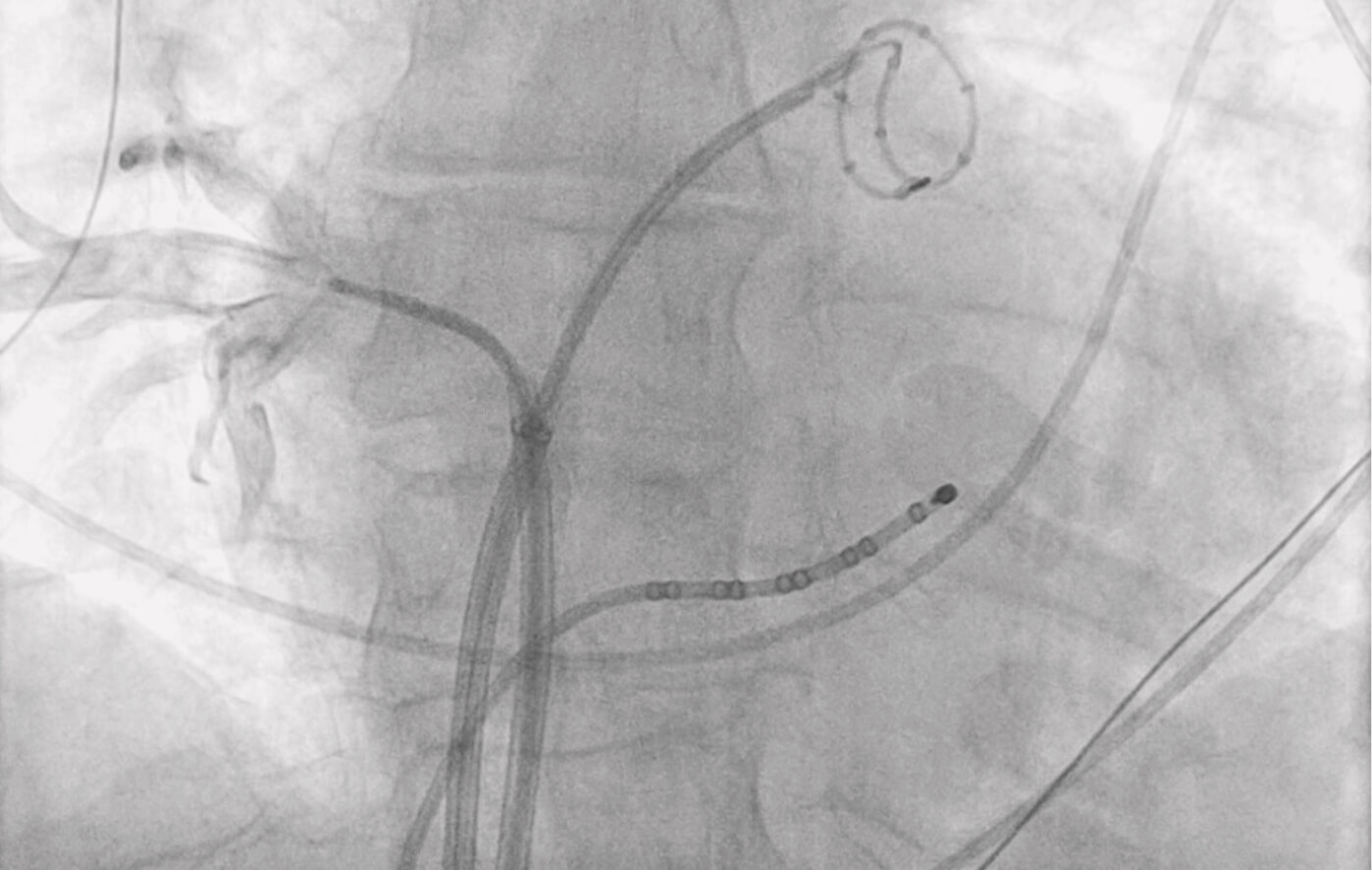
Die elektrophysiologische Untersuchung (EPU) dient der genauen Analyse von Herzrhythmusstörungen. Dabei werden über die Leistenvenen Katheter in das Herz eingeführt, über die elektrische Impulse gemessen und analysiert werden können.

So lassen sich Ursprungsorte von Herzrhythmusstörungen gezielt identifizieren. In gleicher Sitzung kann bei Bedarf eine Ablation (Ver- ödung) durchgeführt werden, um die Rhythmusstörung dauerhaft zu beseitigen. Mit Hilfe moderner 3D-Mappingverfahren ist es uns möglich, alle komplexen Herzrhythmusstörungen darzustellen und zu behandeln.

Eine der am häufigsten auftretenden Herzrhythmusstörungen ist das Vorhofflimmern. Die effektivste Methode zur Verhinderung von Vor- hofflimmern ist die kathetergeführte Pulmonalvenenisolation (Abla- tion) der Eingänge der Lungenvenen im linken Vorhof. Wir wenden hierbei die schonende und sehr sichere Methode der Cryoablation („Kälteballon“) an.