Home → Angiologische Leistungen → Duplexsonographie der Halsgefäße (Carotis-Duplex)
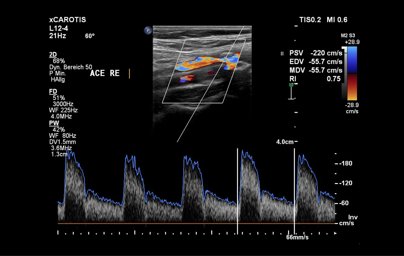
Die Duplexsonographie der Halsgefäße ist eine Ultraschalluntersuchung, mit der wir die Blutgefäße am Hals, insbesondere die Halsschlagadern, beurteilen. Dabei können wir Ablagerungen (Plaques) oder Verengungen (Stenosen) frühzeitig erkennen, die das Risiko für einen Schlaganfall erhöhen können. Die Untersuchung dauert nur wenige Minuten und liefert wichtige Informationen über die Durchblutung Ihres Gehirns und das Ausmaß der Gefäßveränderungen (Atherosklerose).